Das Bayerische Zahnärzteblatt (BZB) wird in einer Herausgebergemeinschaft gemeinsam von der Bayerischen Landeszahnärztekammer (BLZK) und der Kassenzahnärztlichen Vereinigung Bayerns (KZVB) publiziert. Das BZB ist das Amtliche Mitteilungsblatt der Bayerischen Landeszahnärztekammer sowie der Kassenzahnärztlichen Vereinigung Bayerns. Auf dieser Website finden Sie ausgewählte Beiträge aus der aktuellen Ausgabe sowie auch die vollständigen E-Paper-Versionen von BZB und BZBplus.

„Drah di ned um …“ Söder und der Staatskommissar

BZB01+0226_Edi_2160x960_BZB

Liebe Kolleginnen und Kollegen, „… der Kommissar geht um!“ – Falcos Hit von 1981 mag Schnee von vorgestern sein. Doch wer glaubte, das Einsetzen eines Staatskommissars im Gesundheitswesen sei Regierungshandeln von gestern, musste sich Anfang 2026 die Augen reiben. Markus Söder hat den Falco-Song neu gecovert.

Null Toleranz für Gewalt gegen Zahnärzte!

Edi_2160x960_BZBplus0126 (1)

Liebe Kolleginnen und Kollegen, ich hoffe, Sie sind mit Ihren Familien und Teams gut und sicher in ein gesundes und glückliches 2026 gestartet! Stichwort Sicherheit im neuen Jahr: Eine wichtige Forderung der BLZK steht mit einem vom Bundesjustizministerium am 30. Dezember vorgelegten Gesetzentwurf vor der Umsetzung.

„Drei gute Jahre für die bayerischen Vertragszahnärzte“

Drei gute Jahre

2023 trat der aktuelle Vorstand der KZVB sein Amt an. Die seitdem vergangenen drei Jahre hatten es gesundheitspolitisch in sich – von Lauterbachs Spargesetzen über die Telematik-Infrastruktur bis zum Regierungswechsel im Bund. Der Vorstand der KZVB konnte dennoch viel für die bayerischen Vertragszahnärzte erreichen und zieht eine positive Halbzeitbilanz.

Notfall Gesundheitssystem: Zahnärzte im politischen Einsatz

Notfall Gesundheitssystem

Steigende Krankenkassenbeiträge, drohende Versorgungslücken im ländlichen Raum: Das deutsche Gesundheitssystem wird zunehmend selbst zum Notfallpatienten. So überschlugen sich Politiker zum Jahreswechsel geradezu mit Ideen, um das Gesundheitswesen zu „verarzten“. Das gipfelte bei der Klausurtagung der CSU-Landtagsfraktion in der Erwägung von Bayerns Ministerpräsident Markus Söder, anhaltende regionale Probleme in der ärztlichen Versorgung möglicherweise mit einem Staatskommissar zu regeln.

Aktuelle Ausgaben

Hier können Sie sich die jeweils aktuelle Ausgabe von BZB und BZBplus gleich online als E-Paper anschauen.
Klicken Sie einfach auf das entsprechende Cover:

Kooperationsverträge werden einfacher

Kooperationsvertraege Pflege

Menschen, die aufgrund ihrer Pflegebedürftigkeit, wegen körperlicher oder gesundheitlicher Handicaps nicht mehr in der Lage sind, eine Zahnarztpraxis aufzusuchen, ermöglicht die aufsuchende Betreuung zumindest eine zahnmedizinische Grundversorgung. Vertragszahnärzte können mit stationären Pflegeeinrichtungen hierfür sogenannte Kooperationsverträge abschließen. Die weitere Abwicklung mit der KZVB kann seit Januar auch online erfolgen.

Ihr neuer digitaler Kollege

neuer digitaler Kollege

Künstliche Intelligenz verändert den Praxisalltag – auch in der Abrechnung. Entscheidend ist nicht das „Ob“, sondern das „Wie“. Mit einer neuen KI-gestützten Funktion in der Abrechnungsmappe setzt die KZVB auf einen innovativen Ansatz: Die KI beantwortet Fragen, strukturiert komplexe Regelwerke, schafft Orientierung und entlastet Praxisteams.

Umweltzahnmedizin: Materialvielfalt aufs absolute Minimum reduziert

Umweltzahnmedizin

Die Wechselwirkung zwischen zahnmedizinischen Materialien, Behandlungen und der Umwelt sowie deren Einfluss auf die Gesundheit des Menschen steht bei der Umweltzahnmedizin im Fokus. Der Grundsatz dabei ist: Je mehr unterschiedliche Materialien verwendet werden, desto höher steigt das Risiko für Unverträglichkeiten und Komplikationen.

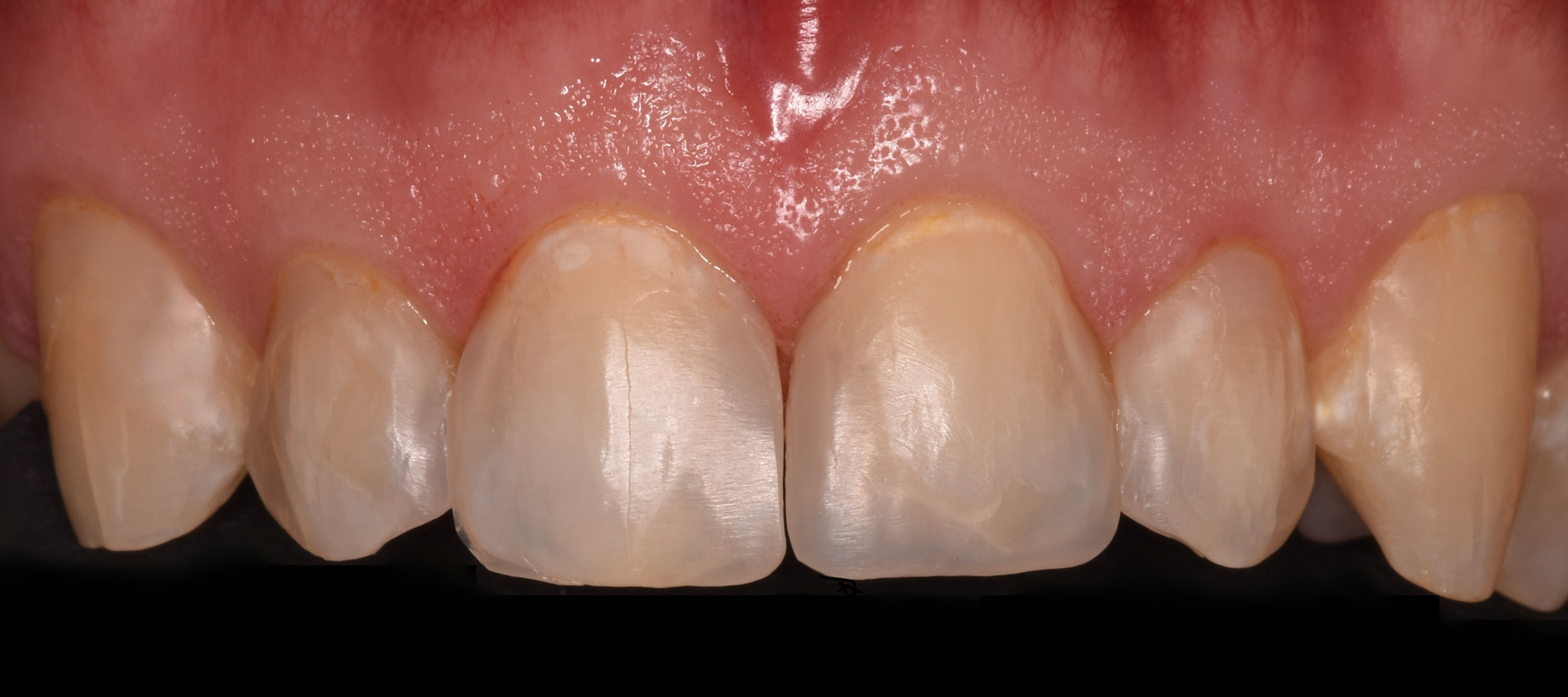
Vertikale Knochenaugmentation – Realität oder Illusion?

Vertikale Knochenaugmentation

Knochendefekte gehören heute zum klinischen Alltag der implantologischen Praxis. Langjähriger Zahnverlust, Trauma oder entzündliche Erkrankungen können zu ausgeprägten horizontalen und vertikalen Defiziten des Alveolarfortsatzes führen, die eine rekonstruktive Hartgewebsaugmentation erforderlich machen.

Neue NC-freie Studienplätze für Zahnmedizin

NC freier Studiengang

Die HMU Health and Medical University Erfurt hat als private, staatlich anerkannte Universität ein innovatives Zahnmedizinstudium entwickelt, das der Approbationsordnung folgt und gleichzeitig über traditionelle Ausbildungskonzepte hinausgeht. Im Zentrum steht die enge Verzahnung von universitärer Lehre und strukturierter, praktischer Erfahrung in kooperierenden Zahnarztpraxen.

SEA LOVE KFO 2026 – der KFO-Kongress feiert Jubiläum!

Sea Love KFO 26

Vom 23. bis 26. April 2026 ist es wieder so weit. Seit nunmehr fünf Jahren bringt SEA LOVE KFO hochkarätige Referenten, wertvolles Fachwissen und kollegialen Austausch an einen der schönsten Orte Deutschlands – den Tegernsee.

Kontakt

(V.i.S.d.P.): Herausgebergesellschaft des Bayerischen Zahnärzteblatts,
Dr. Dr. Frank Wohl, Präsident der Bayerischen Landeszahnärztekammer (BLZK), Dr. Rüdiger Schott, Vorsitzender des Vorstands der Kassenzahnärztlichen Vereinigung Bayerns (KZVB)

Fallstraße 34/Flößergasse 1,
81369 München
Telefon: 089 72401-0 (KZVB), 089 230 211-0 (BLZK)
E-Mail: presse@kzvb.de, presse@blzk.de

Die bayerischen Zahnärzte
auf facebook